近年来,在我院党委副书记、院长佟小光带领下,医院持续全力打造“精品医联体”的标杆品牌,目前天津市环湖医院已与河北、青海、内蒙、新疆、深圳等区域中心医院开展技术合作共建项目,派出最好的专家和团队,与当地医生团队合作完成百余例手术,填补了当地多项技术空白。近日,天津市环湖医院神经外科五病区主任王虎三天内分别奔赴青海大学附属医院和河北省人民医院,与当地医疗团队协作,精准切除颅内肿瘤,以高效协作化解患者危急,彰显医联体 “上下联动、资源共享” 的优势。
与河北省人民医院合作
在河北省人民医院,一位63岁女性患者正面临 “生死时速” 的考验。患者因 “右上肢肌力下降伴部分失语5天,加重1天” 入院,病情进展较快——入院仅1天便完全失语,偏瘫症状进一步加重。两院专家联合评估,制定个性化手术方案。
术中利用导航、超吸、电生理等辅助手段,王虎主任成功将肿瘤全部切除,术后患者症状得到明显改善。



与青海大学附属医院合作
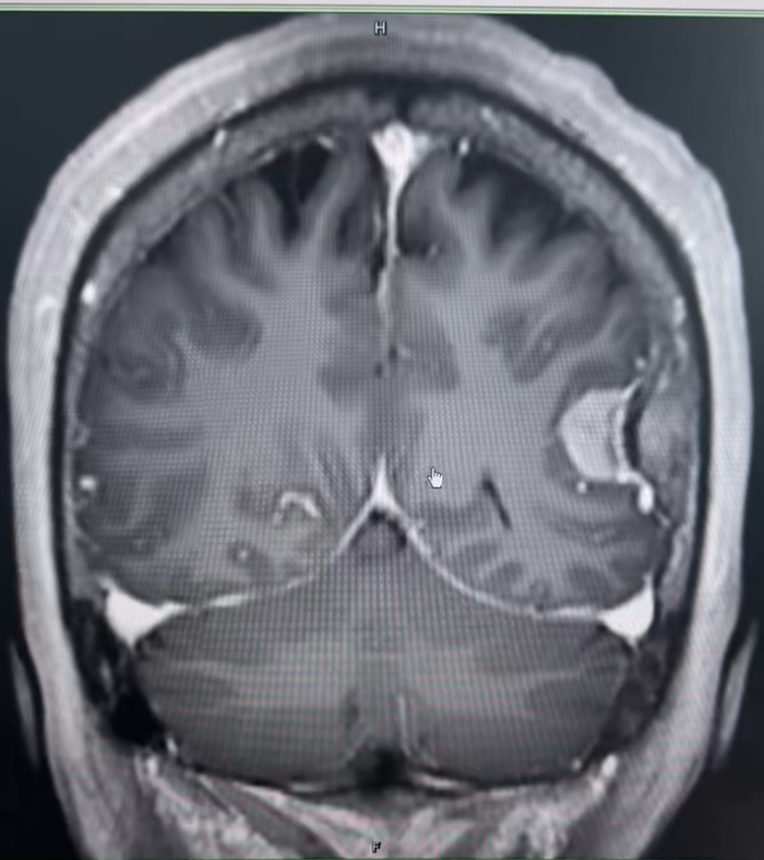
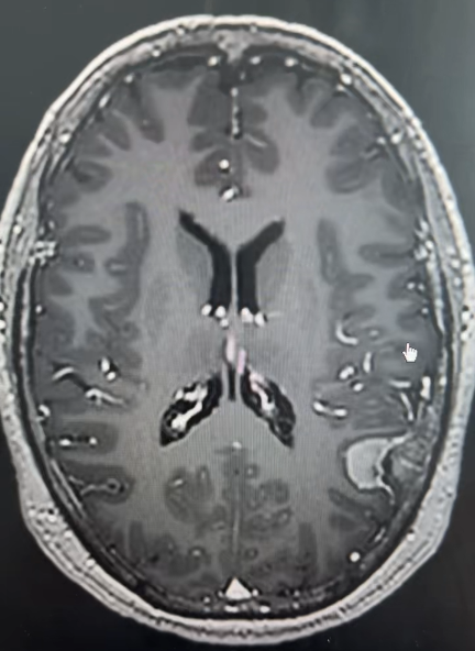
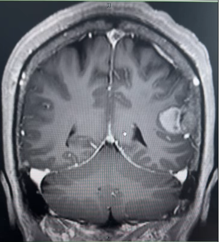
在青海大学附属医院,另一例颅内肿瘤手术同样面临挑战。该患者术前影像考虑脑膜瘤,尽管肿瘤体积不大,但肿瘤位置特殊——位于左侧顶叶,运动区附近,血运丰富,患者术前肢体已有症状,一旦损伤可造成严重的并发症。王虎主任与当地专家术前经过充分的讨论与准备,制定了完善的手术方案。
术中,王虎主任最终仅用时2小时就将肿瘤全部切除,并且术后未造成任何并发症,不仅解决了患者的难题,也促进了两院的合作。



天津市环湖医院目前已与多家医院建立了紧密的医联体合作,生动展现了优质医疗资源如何快速、精准地下沉到合作单位,这种高效协作不仅让患者免于奔波,更是通过技术帮扶和人才培养,为当地医院打造了一支“带不走的医疗队伍”。